15A Justinian Street, near Dorobanti Polona, District 2, Bucharest
EN
|
RO
office@andreeadentalstudio.ro
+
DENTIST APPOINTMENT
+40744346901
Andreea
Dental Studio
HOME
ABOUT US
PHOTO GALLERY
DENTISTRY SERVICES / PROCEDURES
Single Visit Dentistry
Aligners
Implantology
Aesthetic Dentistry
Professional Tooth Whitening
Orthodontics
Dental Prosthetics
Oral Surgery
Dental Fillings
Endodontic treatment
Profilaxy
Periodontology
PRICES
PROMOTIONS
CLINICAL CASES
CONTACT
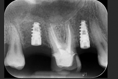
DENTAL IMPLANTS PREMOLAR
Dental implants upper second premolar, upper second molar
Clinical cases
Dental implants premolar
Dental implants premolar
Dental implants upper second premolar, upper second molar
PREVIOUS
Porcelain inlay
NEXT
External sinus lifting
DENTIST APPOINTMENT
!
!
!
SEND
Cancel