15A Justinian Street, near Dorobanti Polona, District 2, Bucharest

Dental clinical cases

An image is stronger than a thousand words! Here you can see a few of the cases that were successfully finalised in our clinic.

Ceramic crowns and veneers
orthodontic treatment, full ceramic crowns
Full ceramic veneers and crowns
porcelain veneers, full ceramic crowns
Full ceramic crown
Ceramic crown reduces to a minimim the risk of fracture
Ceramic crowns and veneers, dental implants
dental implants,  ceramic crowns and veneers
Zirconium crowns on teeth and implants
Crowns on teeth and implants
Megagen Anyridge dental implant
Megagen Anyridge dental implant on central incisor
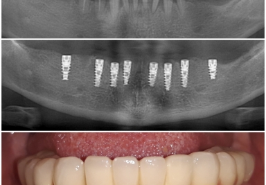
Full mouth rehabilitation with dental implants
Full mouth rehabilitation with dental implants and fixed ceramic crowns
Lateral incisors anodontia
dental implants , sinsus lift
Complex prosthetic and surgical treatment
Complex prosthetic and surgical treatment: dental implants, ceramic crowns
Mobile Prosthesis fixed with 4 locators
Mobile Prosthesis fixed with 4 locators on 4 Alpha BIO Nobel dental implants
Porcelain veneers
Porcelain veneers for all frontal maxillary teeth
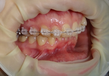
Sapphire orthodontic device
Orthodontic treatment, external sinus lifting.
Complete oral rehabilitation
Old prosthetic bridges were replaced with three metal-ceramic bridges on the upper arch.
Full mouth restorations
Porcelain veneers, full ceramic crowns and zirconium bridge
E-max ceramic
E-max ceramic is perfectly identical to natural teeth as you can see in in the pictures.
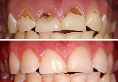
Caries front teeth
multiple lesions in different stages of evolution affecting all frontal teeth
Porcelain crowns and veneers
full porcelain crowns and veneers
Porcelain veneers
Porcelain veneers on all four upper incisors
Full maxillary rehabilitation
full ceramic individual crowns in the frontal maxillary area
Dental implants, porcelain crowns
dental implants, porcelain and zirconium crowns
Orthodontic treatment
full ceramic crowns and veneer
E-max full ceramic crowns
E-max full ceramic crowns on frontal upper incisors
Dental prosthesis
dental prosthesis with special ball attachments
Mandibular dental implants
Mandibular dental implants and screw-retained metal-based porcelain crowns
Full ceramic crown on upper lateral incisor
restore the tooth with a very esthetic full ceramic crown
Porcelain inlay
Porcelain inlay

DENTIST APPOINTMENT

!
!
!
Cancel