15A Justinian Street, near Dorobanti Polona, District 2, Bucharest

CERAMIC CROWNS AND VENEERS, DENTAL IMPLANTS

dental implants,  ceramic crowns and veneers

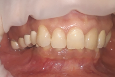
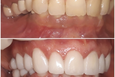
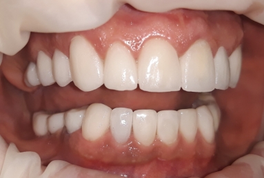
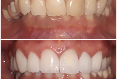
Our patient needed a full restoration of her smile. The frontal teeth received porcelain veneers and crowns. On the lateral right side the treatment was difficult, the oclusion plan was incorrect because of old extractions left unrestored.

We had to insert dental implants and zirconium crowns on implants to restore the function.

DENTIST APPOINTMENT

!
!
!
Cancel