15A Justinian Street, near Dorobanti Polona, District 2, Bucharest

CERAMIC CROWNS AND VENEERS

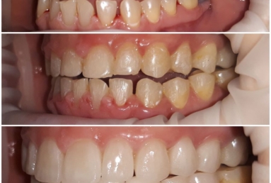
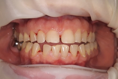
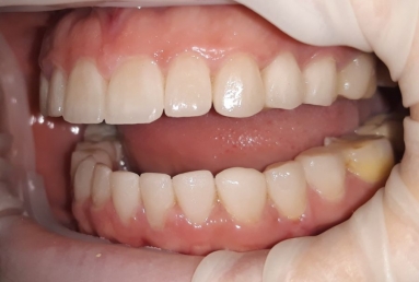
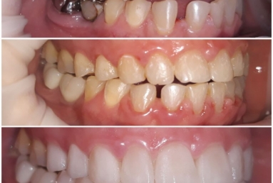
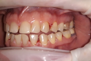
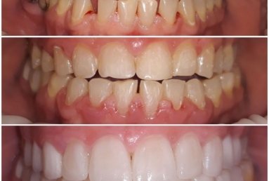
orthodontic treatment, full ceramic crowns

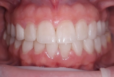
Our patient had general dental abrasion due to maloclusion. After orthodontic treatment, the upper teeth received full ceramic crowns, while the lower were restored with crowns and veneers.

We managed to solve partialy the orthodontic problem and at the same time restore the frontal teeth with esthetic ceramics for a perfect smile.

DENTIST APPOINTMENT

!
!
!
Cancel