15A Justinian Street, near Dorobanti Polona, District 2, Bucharest

COMPLETE ORAL REHABILITATION

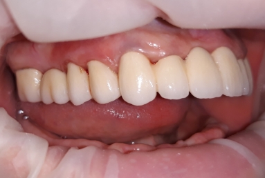
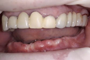
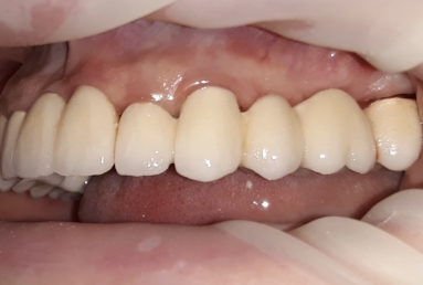
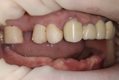
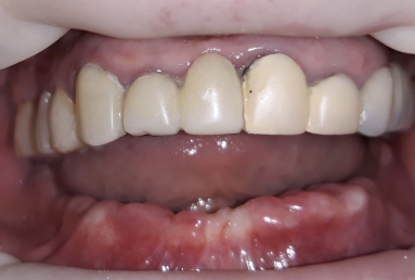
Old prosthetic bridges were replaced with three metal-ceramic bridges on the upper arch.

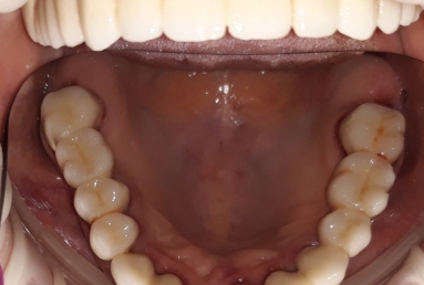
This Patient had old prosthetic bridges made of Metal and acrylic. They were replaced with three metal-ceramic bridges on the upper arch. On the mandible she had four frontal teeth that were mobile, so they were extracted and replaced with four LODI implants. These are narrow implants, fit for a narrow bone and they will sustain a mobile prothesis through four special Locators in a few months.

DENTIST APPOINTMENT

!
!
!
Cancel