15A Justinian Street, near Dorobanti Polona, District 2, Bucharest

COMPLEX PROSTHETIC AND SURGICAL TREATMENT

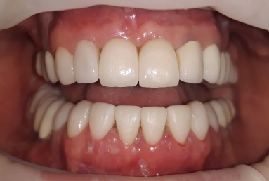
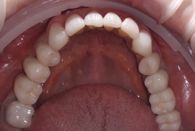
Complex prosthetic and surgical treatment: dental implants, ceramic crowns

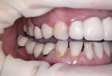
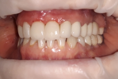
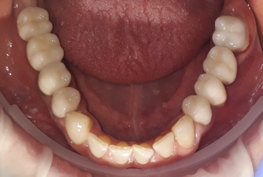
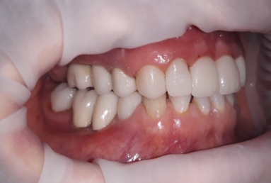
Our patient had old dental work,  aestheticaly innapropriate, Some of the teeth could not be saved because of root fracture or advanced decay. Dental implants were inserted in the right maxillary area, the sinus was elevated. In this area the patient had an old unilaterally mobile prosthetic work. In the frontal area the two central incisors were also lost, because one of them had a very advanced root decay next to a large metallic post and the other one had a root fracture and a cyst.

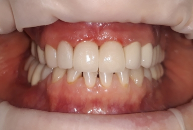
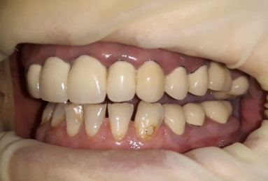
After the extractions and bone graft, two dental implants were inserted in this area. The mandible also received 4 dental implants in the lateral area. During the implants healing, temporary crowns were made. In the final stage of treatment, full ceramic crowns, a veneer and zirconium crowns and bridge were made, as well as a tooth whitening on the lower frontal area. The treatment lasted for almost one year.

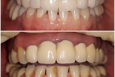
After two months our patient decided to come back and have ceramic veneers on the lower frontal teeth.

DENTIST APPOINTMENT

!
!
!
Cancel