
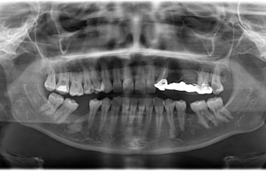
Initial situation: the patient had a an incorrect bridge for five years in the left maxillary area, this caused the extraction of the posterior tooth that was sustaining the bridge together with the wisdom tooth then three implants were inserted in the maxillary bone.
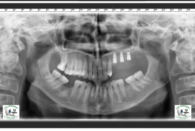
After the osseointegration of the implants three porcelain and zirconium crowns were made. At the same time full ceramic crowns were made for the left canine and the two right premolars, which had deep cavities and needed root canal treatment.
Before starting the prosthetic treatment, the patient wanted a tooth bleaching using the whitening lamp to activate the gel, so the final color for the crowns was chosen according to the color obtained after the whitening.