15A Justinian Street, near Dorobanti Polona, District 2, Bucharest

E-MAX CERAMIC

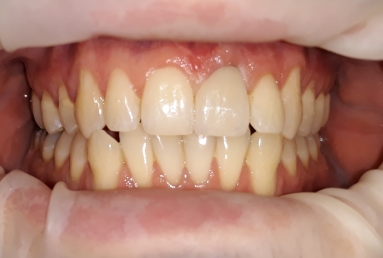
E-max ceramic is perfectly identical to natural teeth as you can see in in the pictures.

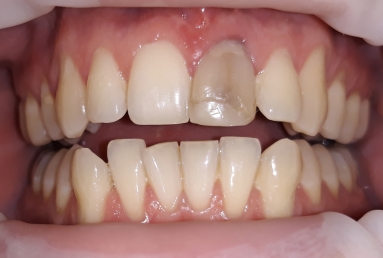
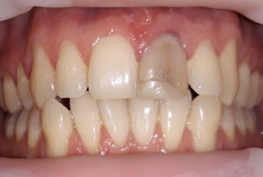
The central incisor lost it's vitality after a dental trauma and, after a root canal treatment, a composite filling restored the missing part of the tooth. After 20 years the tooth changed colour so, in order to solve the aesthetic  problem, we restored the the incisor with a full ceramic crown.

E-max ceramic is perfectly identical to natural teeth as you can see in in the pictures.

DENTIST APPOINTMENT

!
!
!
Cancel