
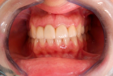
Before treatment: three porcelain fused to metal crowns on the right lateral incisor and on the two central incisors, left lateral incisor has a big composite filling and an old root canal treatment. The patient will receive full ceramic crowns on all four upper incisors.