15A Justinian Street, near Dorobanti Polona, District 2, Bucharest

FULL ARCH FIX RESTORATION ON ALPHA BIO IMPLANTS

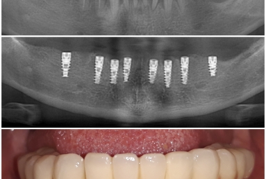
Alpha Bio Nobel implants

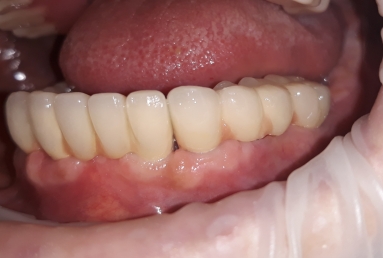
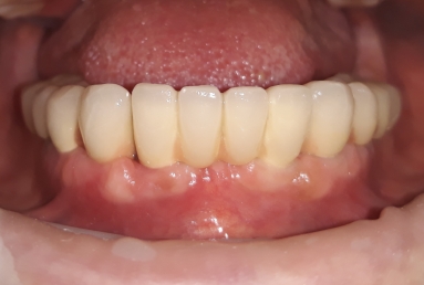
Our patient suffered from advanced periodontitis and we had to extract all mandibular teeth. After 2 month we inserted 8 Alpha Bio implants that healed in 4 months. All this time a full mobile temporary prosthesis was made, that was replaced in the end with fixed restorations made of porcelain fused to metal.

In the next step, tha patient wants to replace also the maxilary old mobile prosthesis with a fixed restoration.

DENTIST APPOINTMENT

!
!
!
Cancel