15A Justinian Street, near Dorobanti Polona, District 2, Bucharest
EN
|
RO
office@andreeadentalstudio.ro
+
DENTIST APPOINTMENT
+40744346901
Andreea
Dental Studio
HOME
ABOUT US
PHOTO GALLERY
DENTISTRY SERVICES / PROCEDURES
Single Visit Dentistry
Aligners
Implantology
Aesthetic Dentistry
Professional Tooth Whitening
Orthodontics
Dental Prosthetics
Oral Surgery
Dental Fillings
Endodontic treatment
Profilaxy
Periodontology
PRICES
PROMOTIONS
CLINICAL CASES
CONTACT
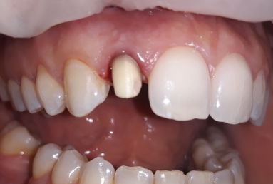
FULL CERAMIC CROWN
Ceramic crown reduces to a minimim the risk of fracture
Clinical cases
Full ceramic crown
Full ceramic crown
A tooth that lost vitality and has an old root canal treatment can become very fragile and very discolored in time.
A full ceramic crown reduces to a minimim the risk of fracture and also solves the esthetic problem, the color matching perfeclty the natural teeth
PREVIOUS
Full ceramic veneers and crowns
NEXT
Ceramic crowns and veneers, dental implants
DENTIST APPOINTMENT
!
!
!
SEND
Cancel