15A Justinian Street, near Dorobanti Polona, District 2, Bucharest

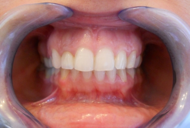
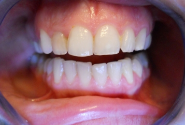
FULL CERAMIC CROWN ON UPPER LATERAL INCISOR

restore the tooth with a very esthetic full ceramic crown

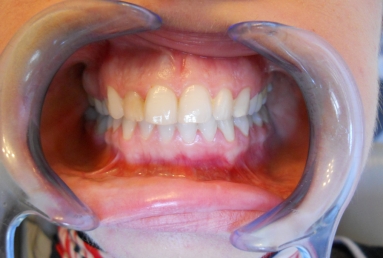
Initial clinical situation: upper lateral incisor with a big composite filling and an old root canal treatment. that caused in time a grey discoloration of the tooth. Internal tooth whitening would not give a good result in this case, because of the composite filling, and also because the whitening is not stable in time. This is why the decision was to restore the tooth with a very esthetic full ceramic crown, which does not change colour in time, at the same time protetcting a non vital tooth against fracture.

DENTIST APPOINTMENT

!
!
!
Cancel