15A Justinian Street, near Dorobanti Polona, District 2, Bucharest
EN
|
RO
office@andreeadentalstudio.ro
+
DENTIST APPOINTMENT
+40744346901
Andreea
Dental Studio
HOME
ABOUT US
PHOTO GALLERY
DENTISTRY SERVICES / PROCEDURES
Single Visit Dentistry
Aligners
Implantology
Aesthetic Dentistry
Professional Tooth Whitening
Orthodontics
Dental Prosthetics
Oral Surgery
Dental Fillings
Endodontic treatment
Profilaxy
Periodontology
PRICES
PROMOTIONS
CLINICAL CASES
CONTACT
FULL CERAMIC CROWNS
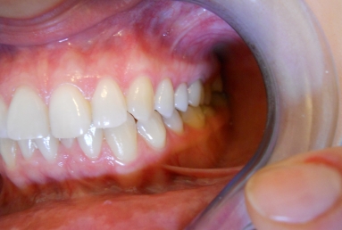
Full ceramic crowns on upper second premolar and first upper molar
Clinical cases
Full ceramic crowns
Full ceramic crowns
Full ceramic crowns on upper second premolar and first upper molar
PREVIOUS
Full porcelain crowns
NEXT
Full ceramic crown on central incisor
DENTIST APPOINTMENT
!
!
!
SEND
Cancel