15A Justinian Street, near Dorobanti Polona, District 2, Bucharest

FULL CERAMIC VENEERS AND CROWNS

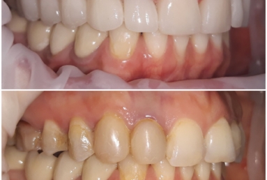
porcelain veneers, full ceramic crowns

Our patient wanted a stable and esthetic solution for the upper frontal teeth. She kept changing composite fillings every few years because composite colour is not stable in time.

The perfect solution for her was porcelain veneers on vital teeth combined with porcelain crowns for the non vital teeth.

DENTIST APPOINTMENT

!
!
!
Cancel