
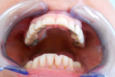
Before treatment: old fractured prosthetic restorations in the lateral maxillary areas made out of metal and composite material, deep bite, frontal maxillary teeth severely inclined.
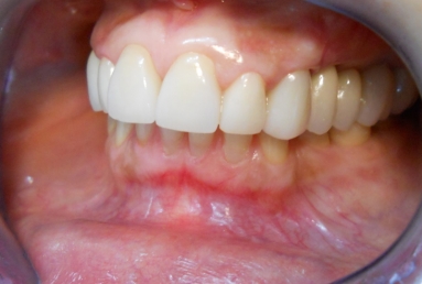
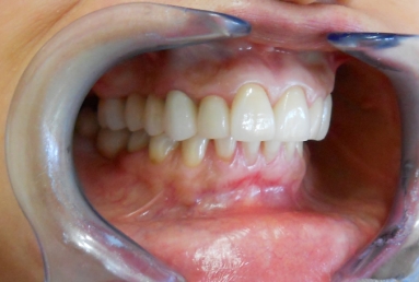
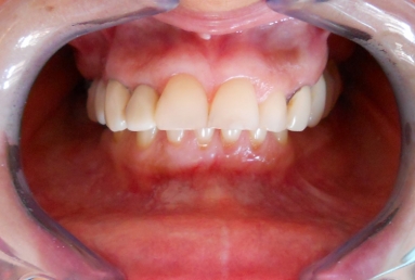
After treatment:
– zirconium/ceramic bridge in the lateral right maxillary area
– two implants and zirconium/ceramic bridge in the lateral left maxillary area
– full ceramic individual crowns in the frontal maxillary area, correcting at the same time the occlusion and the position of the frontal teeth.
– the lower arch was restored with a zirconium/ceramic bridge in the lateral right area and composite esthetic fillings + teeth whitening for the rest of the natural teeth.