15A Justinian Street, near Dorobanti Polona, District 2, Bucharest

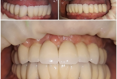
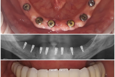
FULL MOUTH REHABILITATION WITH DENTAL IMPLANTS

Full mouth rehabilitation with dental implants and fixed ceramic crowns

Our patient had advanced periodontal disease with general tooth mobility.

All teeth needed to be extracted and replaced with dental implants. Mobile prothesis were used as temporary restorations.

After implant healing, fixed bridges were made out of porcelain fused to metal.

One more dental implant is needed, but with sinus lift graft, intervention that is postponed for the moment.

DENTIST APPOINTMENT

!
!
!
Cancel