15A Justinian Street, near Dorobanti Polona, District 2, Bucharest

FULL MOUTH RESTORATIONS

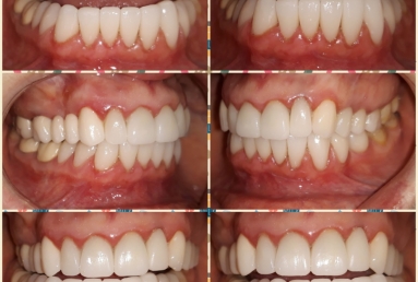
Porcelain veneers, full ceramic crowns and zirconium bridge

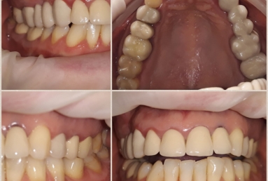
In the beginning, the patient had on the upper arch metal and ceramic old restorations, of different colours, inappropriate shape and inclination of frontal incisors.

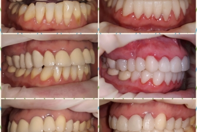
The inferior arch has misaligned teeth, old composites and gingival retraction. After wax-up an temporary crowns done by mock-up technique, the final restorations were cemented using adhesive resin cement: ceramic veneers on all lower teeth to the premolars, full ceramic crowns on upper incisors and upper left premolars, a ceramic veneer on a left upper canine and a zirconium/ceramic bridge on the upper right side.

DENTIST APPOINTMENT

!
!
!
Cancel