
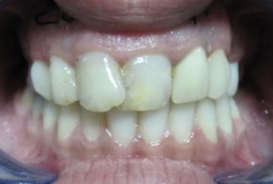
Before treatment: left lateral incisor has an old acrylic crown. The other three incisors have very big decayed composite fillings. Patient also has dental misalignment of frontal teeth. Left central incisors will receive a porcelain veneer remaining the only vital incisor, the other three incisors need root canal treatment, fiber posts and full porcelain crowns. All four restorations also solve the dental crowding.