
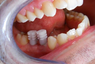
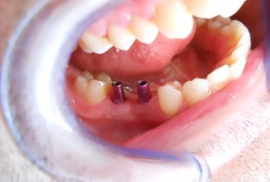
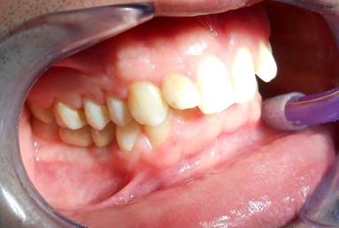
Initial situation: two missing teeth, second lower premolar and first lower molar. two dental implant are integrating in the mandibular bone for 4 months, then, gingival healing caps are applied for 3 weeks. an impression is taken for the dental lab in order to manufacture 2 porcelain fused to metal crowns. they will be screwed directly in the implant body.