15A Justinian Street, near Dorobanti Polona, District 2, Bucharest

MOBILE PROSTHESIS FIXED WITH 4 LOCATORS

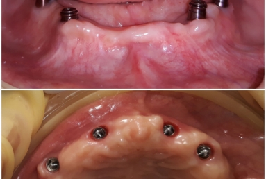
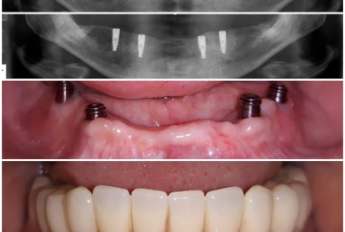
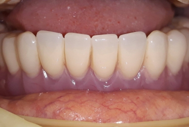
Mobile Prosthesis fixed with 4 locators on 4 Alpha BIO Nobel dental implants

Mobile Prosthesis fixed with 4 locators on 4 Alpha BIO Nobel dental implants.

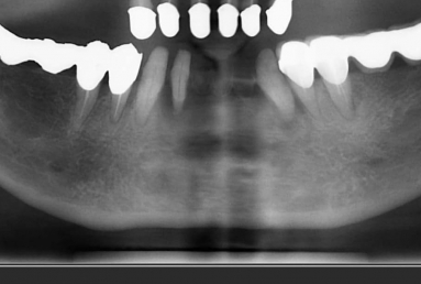
Female patient with advanced periodontal disease has mobility of all teeth and old dental work. All mandibular teeth were extracted and replaced with 4 dental implants ( Alpha bio Nobel).

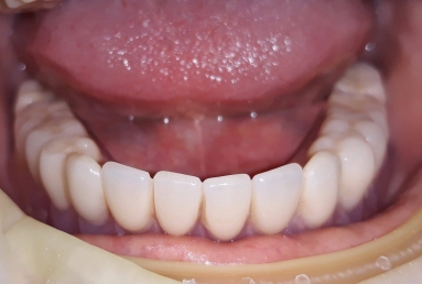
The mobile prosthesis is fixed with 4 locators that firmly stabilise it. The mastication, talking and aesthetics is very comfortably and safely obtained.

After finishing the lower arch, we did the same steps for the upper arch. The mobile full maxilary prosthesis is sustained by 4 dental implants and 4 locators.

DENTIST APPOINTMENT

!
!
!
Cancel