
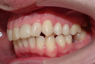
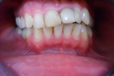
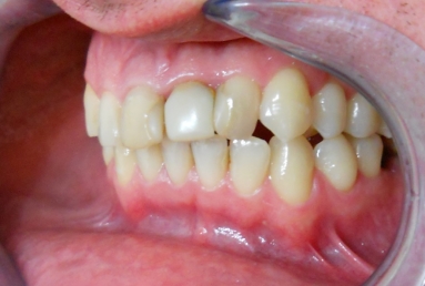
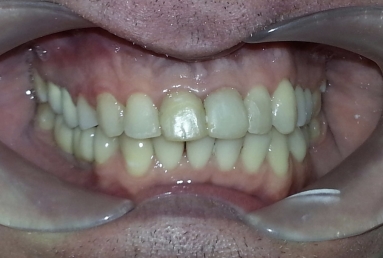
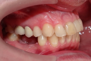
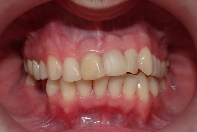
The orthodontic treatment was necessary as the upper maxillary developed assimetricaly, also the teeth were malpositioned. The purpose of the partial braces was to help the final prosthetic treatment, which consisted of two full ceramic crowns for the central incisors, that had root canal treatments, and a ceramic veneer for the lateral incisor, that had a large composite filling. Gingivectomies were also necessary for the right canine and incisors in order to correct the assymetrical gummy smile.