
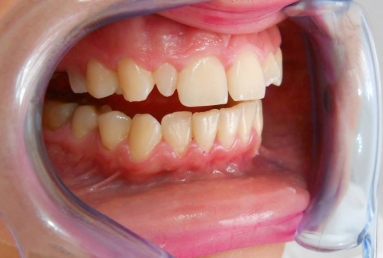
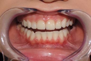
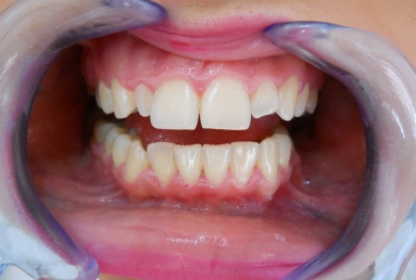
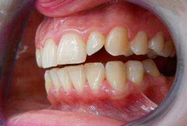
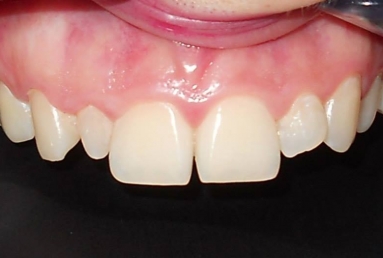
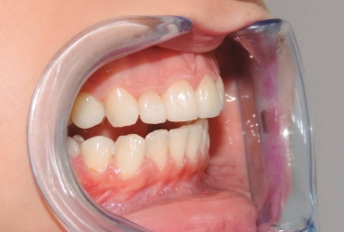
Very small lateral incisors covered with full ceramic crowns and ceramic veneers on central incisors. The prosthetic space was correctly split between the four incisors, in order to reduce the disproportion between the large centrals and the very small laterals. The preparation of the teeth was minimally invasive, all four incisors remained vital.