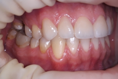
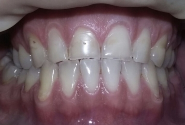
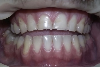
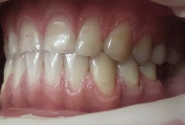
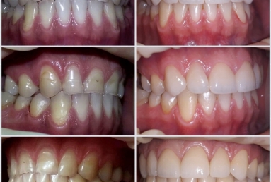
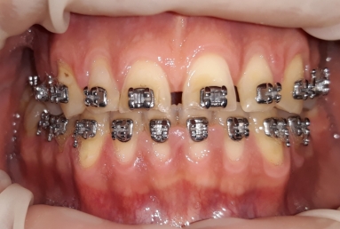
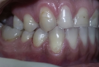
This patient has advanced dental abrasion due to bruxism ( clenching the teeth during the night). this is why the bite is modified and the frontal teeth are shorter. First stage of the treatment is wearing a night guard to relax the muscles and the temporo-mandibular jaw.
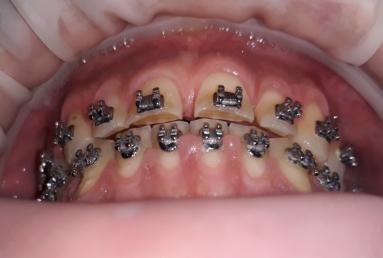
Then fixed orthodontic treatment is set for almost 2 years, so moving the teeth a new more favorable position is obtained to create space for veneers. After wax up a mock up is done for provisional veneers and the new occlusion is tested.
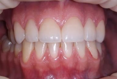
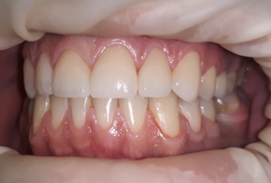
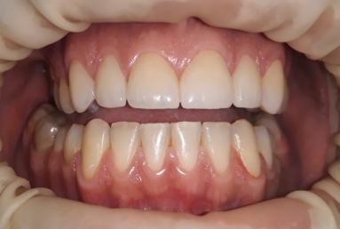
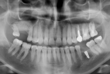
The final porcelain veneers for all frontal maxillary teeth are completed with tooth whitening and changing some composite fillings in lower frontals. On the lower left side a dental implant is inserted, on the upper right side external sinus lift is done. the treatment will be finalised with another upper implant, then two crowns on implants.