15A Justinian Street, near Dorobanti Polona, District 2, Bucharest

PORCELAIN VENEERS

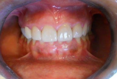
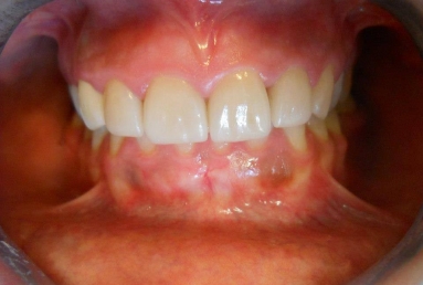
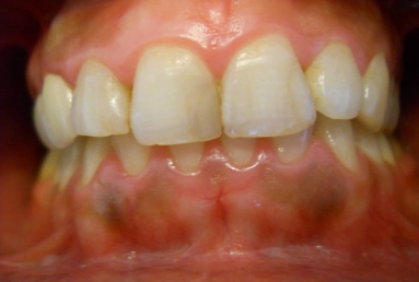
Porcelain veneers on all four upper incisors

Before treatment : inappropriate composite fillings on all four upper incisors, the patient will receive four porcelain veneers.

DENTIST APPOINTMENT

!
!
!
Cancel