15A Justinian Street, near Dorobanti Polona, District 2, Bucharest
EN
|
RO
office@andreeadentalstudio.ro
+
DENTIST APPOINTMENT
+40744346901
Andreea
Dental Studio
HOME
ABOUT US
PHOTO GALLERY
DENTISTRY SERVICES / PROCEDURES
Single Visit Dentistry
Aligners
Implantology
Aesthetic Dentistry
Professional Tooth Whitening
Orthodontics
Dental Prosthetics
Oral Surgery
Dental Fillings
Endodontic treatment
Profilaxy
Periodontology
PRICES
PROMOTIONS
CLINICAL CASES
CONTACT
SAPPHIRE ORTHODONTIC DEVICE
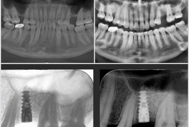
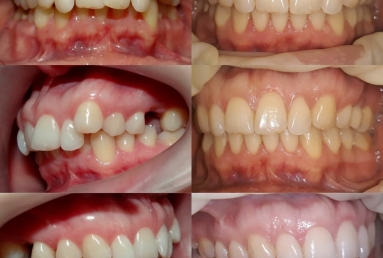
Orthodontic treatment, external sinus lifting.
Clinical cases
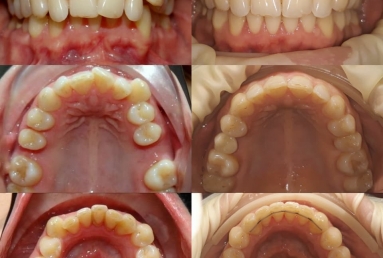
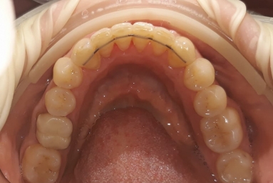
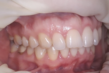
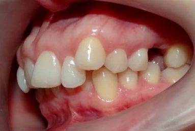
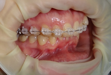
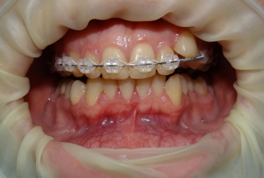
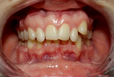
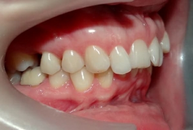
Sapphire orthodontic device
Sapphire orthodontic device
Orthodontic treatment, external sinus lifting, dental implant and zirconium crown.
PREVIOUS
Porcelain veneers
NEXT
Complete oral rehabilitation
DENTIST APPOINTMENT
!
!
!
SEND
Cancel