15A Justinian Street, near Dorobanti Polona, District 2, Bucharest

ZIRCONIUM CROWNS ON TEETH AND IMPLANTS

Crowns on teeth and implants

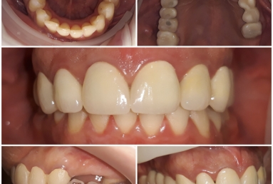
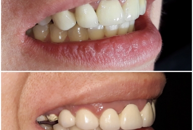
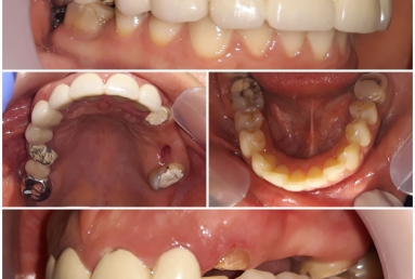
Our young patient had major dental problems caused by missing teeth, decay, incorect metaloceramic crowns that were loose and caused decay under them. We started with treating the decays with composite fillings and ceramic inlays. We extracted the compromised teeth and inserted implants for lateral maxilary teeth.

For the frontal maxilary teeth we replaced the old compromised posts with new metalic posts. Also we needed a partial orthodontic treatment and ortoimplants on the left side to correct the vertical migration and lack of vertical space.

In the end we finished with ceramic and zirconium crowns on teeth and implants.

DENTIST APPOINTMENT

!
!
!
Cancel