
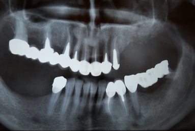
Initial situation: The patient needs dental implants on the left side of the maxillary jaw in order to have a fixed prosthetic restoration. But the bone is insufficient vertically and laterally, because the extractions were made a long time ago, which caused the extreme bone resorption and the vertical migration of the sinus floor.
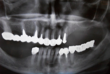
Final situation: an external sinus lifting procedure was performed. The sinus membrane was lifted off the sinus walls and new bone was applied in the vertical space created ( Bio Oss- switzerland- bovine origin). After 6 months, while the new bone is integrated in the maxillary bone of the patient, dental implants can be applied. the case is still during treatment.