15A Justinian Street, near Dorobanti Polona, District 2, Bucharest
EN
|
RO
office@andreeadentalstudio.ro
+
DENTIST APPOINTMENT
+40744346901
Andreea
Dental Studio
HOME
ABOUT US
PHOTO GALLERY
DENTISTRY SERVICES / PROCEDURES
Single Visit Dentistry
Aligners
Implantology
Aesthetic Dentistry
Professional Tooth Whitening
Orthodontics
Dental Prosthetics
Oral Surgery
Dental Fillings
Endodontic treatment
Profilaxy
Periodontology
PRICES
PROMOTIONS
CLINICAL CASES
CONTACT
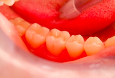
PORCELAIN INLAY
Porcelain inlay
Clinical cases
Porcelain inlay
Porcelain inlay
Porcelain inlay
PREVIOUS
Full ceramic crown on upper lateral incisor
NEXT
Dental implants premolar
DENTIST APPOINTMENT
!
!
!
SEND
Cancel