15A Justinian Street, near Dorobanti Polona, District 2, Bucharest

Dental clinical cases

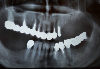
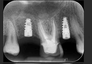
An image is stronger than a thousand words! Here you can see a few of the cases that were successfully finalised in our clinic.

Dental implants premolar
Dental implants upper second premolar, upper second molar
External sinus lifting
Sinus lifting on the left side of the maxilary
Full porcelain crowns
porcelain veneer, full porcelain crowns
Full ceramic crowns
Full ceramic crowns on upper second premolar and first upper molar
Full ceramic crown on central incisor
full ceramic crown on central incisor, professional cleaning
Porcelain fused to metal crown
Porcelain fused to metal crown

DENTIST APPOINTMENT

!
!
!
Cancel